#LCSM Chat 7/30 8pm ET: What’s the Role Today of Whole Brain Radiation for #LungCancer with Brain Metastases?
by H. Jack West, MD
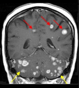
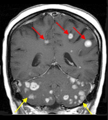
Brain metastases are relatively common in lung cancer, seen in about 15% of cases, and the management of them is evolving as technology and our preferences change. For decades, whole brain radiation therapy (WBRT) was the only game in town and did a reasonable job controlling a problem that we couldn’t manage readily any other way – chemotherapy generally doesn’t penetrate well into the brain, and brain surgery is only a feasible option for one or a few brain metastases, not many.
But over the past 10-15 years, stereotactic radiosurgery (SRS), which is more broadly known by the marketed names Gamma Knife or Cyber Knife, became more readily available and better studied. It has become a standard of care for patients with 1-3 brain metastases, and increasingly offered and used for far more brain metastases, as WBRT became more feared for its potential to cause short- and long-term cognitive problems. While long-term cognitive function was not a significant concern many years ago, when survival was far more limited, it has become a more relevant and dreaded concern as more patients with lung cancer are living well beyond prior benchmarks.
This year, at the American Society for Clinical Oncology Annual Meeting (ASCO 2015), two highly publicized presentations centered on the potential value of WBRT. The first was a UK-based study called QUARTZ that tested WBRT with steroids vs. steroids alone (and general supportive care on both arms) in 538 patients with lung cancer and brain metastases. The trial demonstrated no benefit with WBRT, though survival was very poor on both arms. This, along with the very long duration of the trial enrollment over 7 years, suggested that there was a filtering of patients directed to the trial, so that a lot of the patients enrolled had an unusually poor prognosis and that the trial was not pursued by patients with a better prognosis. Many who reviewed the results felt that the trial illustrated only that WBRT didn’t benefit the patients who we should expect would have a very limited survival of just a few months, but that the QUARTZ trial can’t really speak to the value, or lack thereof, of WBRT in more fit patients.
The second trial, known as NCCTG N0574, was actually presented in the ASCO 2015 Plenary Session and addressed the question of whether WBRT provided additional benefit that more than counterbalanced the risks of it in 213 patients, 72% with lung cancer, who also received SRS for 1-3 brain metastases. On this trial, there was also no significant difference in survival between the treatment arms, while cognitive function was worse in patients with WBRT (92% vs. 64% with cognitive decline 3 months later, for SRS alone or with WBRT, respectively). On the other hand, progression with new or enlarging brain metastases was significantly more common with SRS alone at 3 months (25% vs. 6%) and 6 months (35% vs. 12%).
Finally, beyond brain radiation for established brain metastases, there’s the question of whether these concerns about WBRT will lead to significant hesitation in use of prophylactic cranial irradiation (PCI), which uses a lower dose of brain radiation than WBRT, for settings in which it is often recommended. For instance, in limited stage small cell lung cancer (SCLC), PCI has an established survival benefit and is routinely recommended. It is controversial and sometimes also used for extensive stage SCLC and even for stage III non-small cell lung cancer (NSCLC). In these settings, it overwhelmingly decreases the risk of relapses in the brain and shows at least trends toward improved overall survival in some trials. So will the findings that challenge the use of WBRT lead to reluctance of doctors to recommend and patients to accept PCI?
This leads to several questions we’ll discuss at our upcoming #LCSM tweet chat on 7/30 at 8 PM Eastern, 5 PM Pacific. Moderator Dr. Jack West will raise four topic questions:
- T1) Would you avoid WBRT if you had many brain mets? Does fear of cognitive loss always trump risk of progression in brain?
- T2) Would you favor Gamma Knife (SRS) over WBRT for >20 brain mets, even though benefits & risks are unknown?
- T3) If you had many brain mets and WBRT was recommended, would you choose no radiation instead of WBRT? Would you pursue chemo?
- T4) Prophylactic brain RT (PCI) is often prescribed in SCLC because brain is likely site of 1st progression. Would you now avoid PCI?
For a primer on participating in #LCSM Chat, visit our “Participate in #LCSM Chat” page. Hope we’ll see you Thursday!
NIH invite to #LCSM: join NIH tweetchat on Precision Medicine Initiative 6/30 1pm ET using #PMINetwork hashtag
Tomorrow, June 30, at 1:00 pm ET, the National Institutes of Health (NIH) will host an hour-long Precision Medicine Initiative chat on Twitter using the hashtag #PMINetwork. Participants will include NIH Institutes like the National Cancer Institute (see the NCI’s social media events page), advocacy groups like LUNGevity (@Lungevity), and anyone interested in learning more about the Precision Medicine Initiative.
During the chat, the NCI invites members of the #LCSM community to ask questions about lung-specific NCI precision medicine initiatives such as Lung-MAP, ALCHEMIST, and NCI-MATCH. When you tweet your Precision Medicine questions, be sure to tag @theNCI, and they will be happy to try and answer it.
Here are the specific topics the NIH will tweet during the chat:
T1: Let’s get started. Does anyone have experiences with #PrecisionMedicine, either as a patient or provider?
T2: Overall, tell us what you find most exciting about #PrecisionMedicine Initiative.
T3: We’ve heard about areas needing special attention & want to address these issues in the overall Initiative design. Tell us more
T4: Tell us about areas/populations/disease groups that we need to focus on when building the cohort.
T5: Tell us what a participant-driven cohort means to you
T6: America’s rich diversity need to be incorporated. How do you reach all sections of society?
T7: Health care providers: Tell us what you hear most from your patients about #PrecisionMedicine and standard of care.
T8: Let us know if you would consider joining a 1 million person volunteer cohort and why or why not.
T9: Share your Precision Medicine resources.



You must be logged in to post a comment.